Return

Pathology

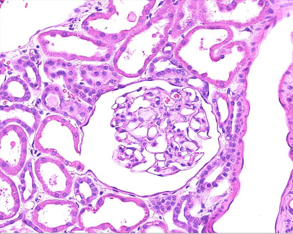
Normal

b1aefdd026f611df8a390800200c9a66